balalaika
renessans
.ru
Главная
»
Отражения мира
»
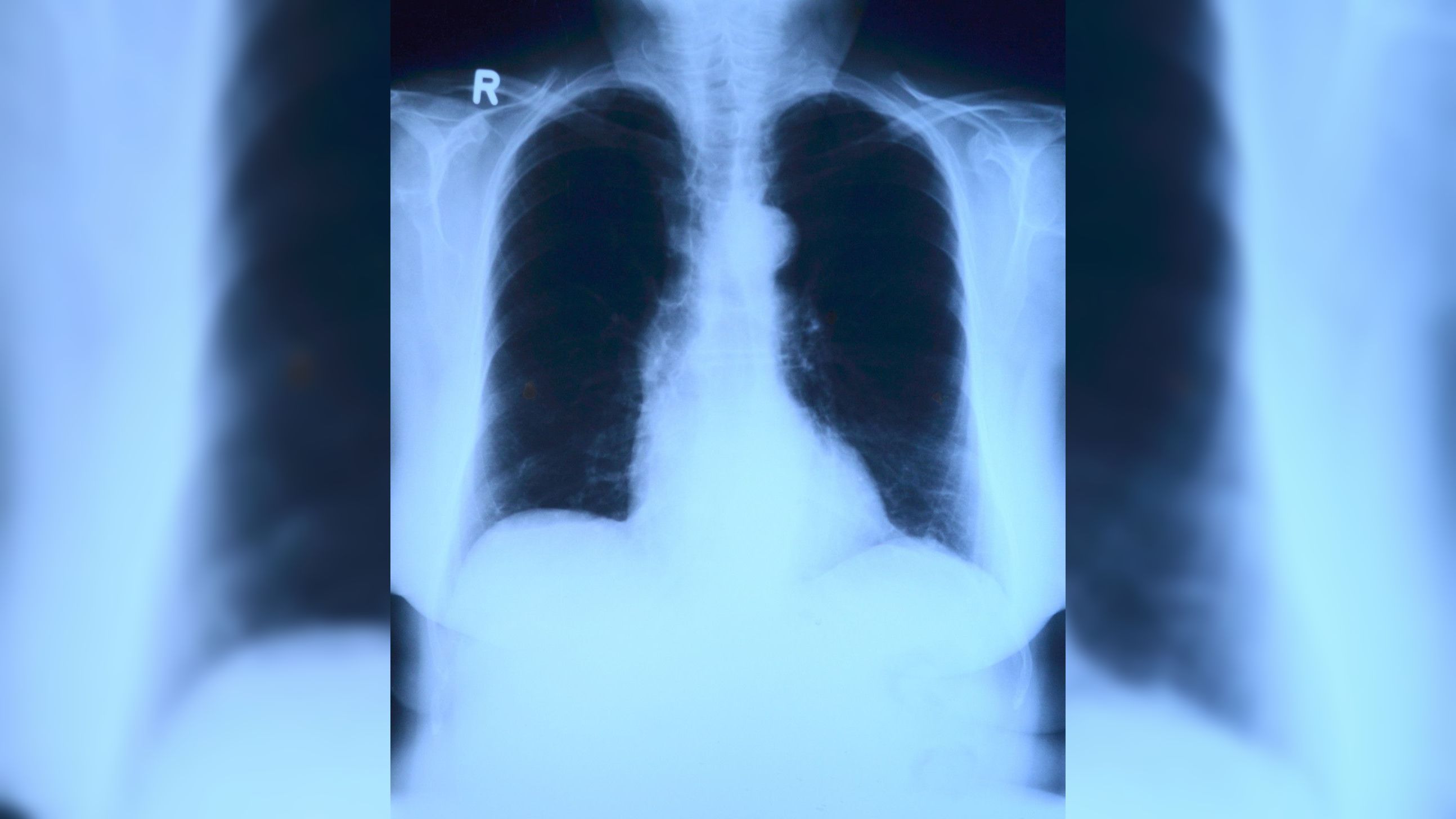
Что такое двусторонняя лимфоаденопатия? Диагностика и лечение
Отражения мира