balalaika
renessans
.ru
Главная
»
Отражения мира
»
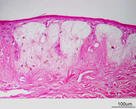
Как выглядит красная волчанка под микроскопом
Отражения мира