balalaika
renessans
.ru
Главная
»
Отражения мира
»
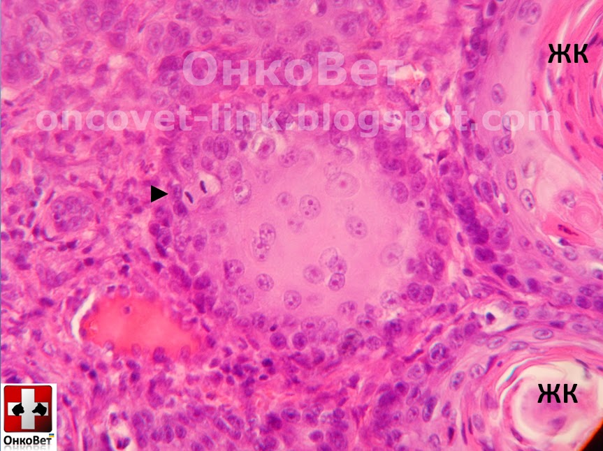
Плоскоклеточная карцинома G2: описание и иллюстрации
Отражения мира