balalaika
renessans
.ru
Главная
»
Отражения мира
»
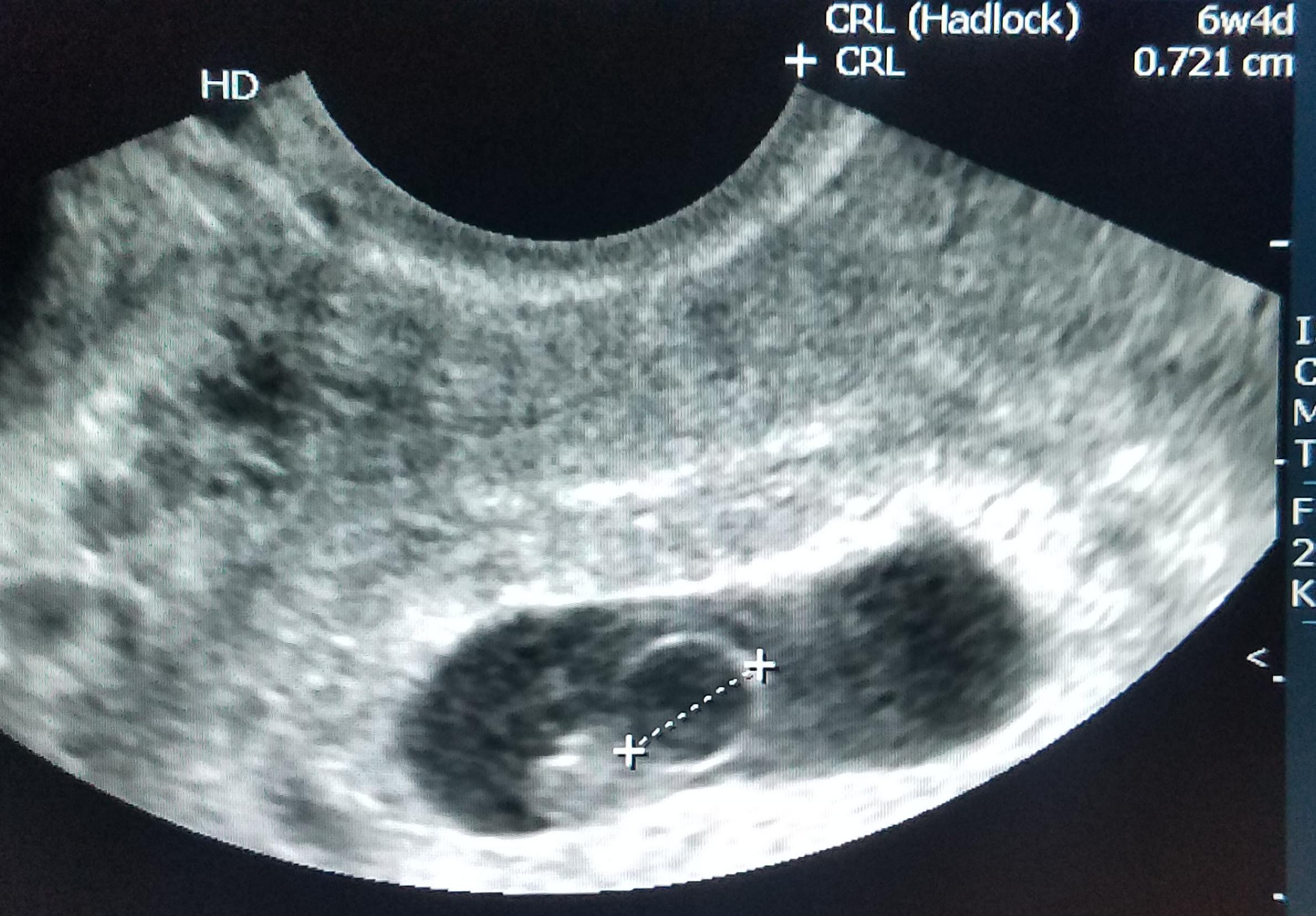
Анализ медицинских данных: желточный мешок и анэмбриония
Отражения мира